Statement of Acknowledgement

We acknowledge and respect the traditional custodians on whose ancestral lands we provide dental services.

We acknowledge the deep feeling of attachment and relationship of Aboriginal and Torres Strait Islander people to Country.

We pay our respects to their Elders past and present and extend that respect to other Aboriginal and Torres Strait Islander people attending our services.

We are committed to improving the oral health outcomes of Aboriginal and Torres Strait Islander people.

Aboriginal and Torres Strait Islander people should be aware that this website may contain images, voices and names of people who have passed away.

Skip to main content

Easter tram closures

Thursday 2 April to Monday 6 April 2026. A substitute bus service is available for travel to the Adelaide Dental Hospital.

Teeth whitening

I Stock 1419407695

Teeth whitening

Teeth whitening involves bleaching your teeth to make them lighter. It should only be carried out by a dental professional.

two sets of teeth

Results of teeth whitening treatments can vary and whiter teeth are not always guaranteed.

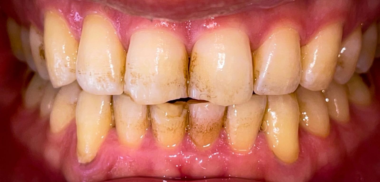
Staining

There are several reasons why your teeth might change colour.

Sometimes, stains on the outer surface of your teeth happen because of things like drinking tea, coffee, red wine, or smoking.

You can usually get rid of these stains by using special whitening toothpaste, getting your teeth cleaned by a dental professional, or using certain treatments.

But sometimes, the stains are inside your teeth. This can happen if you took certain medications when your teeth were growing, had an injury, got metal fillings, or had root canal treatment. Removing stains from inside your teeth can be quite challenging.

stained teeth

External teeth staining

Professional teeth whitening

In Australia, the main ingredients used in teeth whitening products by dental professionals are hydrogen peroxide or carbamide peroxide.

Your dental professional will advise if your teeth are suitable for whitening and any risks that might be involved. They may offer ‘in-chair’ or ‘take-home’ treatments depending on your needs.

In-chair whitening is performed in the dental chair using a strong hydrogen peroxide gel. To maintain the whiter tooth colour, a whitening treatment may also be recommended for use at home.

Take-home whitening treatment is carried out at home after consultation with your dental professional. You will be given custom-made thin, plastic trays that fit over the surface of your teeth.

At home, the teeth whitening gel is placed in the trays and then worn for a set amount of time.

Teeth whitening gel

Custom-made thin, plastic trays that fit over the surface of your teeth.

Whitening toothpastes

Whitening toothpaste can sometimes help to reduce stains present on the outside surface of the teeth.

The toothpaste often contains special abrasives and/or whitening agents that aim to lighten the colour of teeth, but this is not guaranteed.

Risks of teeth whitening

Care needs to be taken when using whitening treatment. If teeth whitening gels are used incorrectly, they may burn your gums or lips and cause ulcers.

Teeth whitening may also cause teeth to become more sensitive. In some cases, the sensitivity can be very severe.

Some beauty salons offer teeth whitening, but this may put your oral health at risk. You can also buy DIY home teeth whitening kits, but these may also carry risks.

The effects of teeth whitening usually last 6-12 months, depending on brushing and diet. You don’t need to continue to use whitening treatment.

Excessive and prolonged use of whitening products can cause long-term damage. If you bleach your teeth too much, the enamel may start to wear away, which can cause sensitivity and affect tooth colour.

Do your teeth need whitening?

In recent years teeth whitening has become very popular, promoted by celebrities and through social media. However, a bright white smile does not mean your teeth are in better condition. You can have white teeth but still have gum disease or tooth decay.

For most people, their natural tooth colour is healthy and completely acceptable. In these cases, whitening is not needed and can lead to a cycle of unnecessary treatment, unrealistic expectations and expense.