Statement of Acknowledgement

We acknowledge and respect the traditional custodians on whose ancestral lands we provide dental services.

We acknowledge the deep feeling of attachment and relationship of Aboriginal and Torres Strait Islander people to Country.

We pay our respects to their Elders past and present and extend that respect to other Aboriginal and Torres Strait Islander people attending our services.

We are committed to improving the oral health outcomes of Aboriginal and Torres Strait Islander people.

Aboriginal and Torres Strait Islander people should be aware that this website may contain images, voices and names of people who have passed away.

Skip to main content

Lift the Lip Program

Health worker lift the lip

About the program

A child’s oral health is essential to their overall health and well-being.

While there have been some improvements in the oral health of South Australian children in recent years, there is still a significant amount of work to be done to reduce the rate of dental disease across all age groups.

Tooth decay is one of the most common childhood diseases. If left untreated, tooth decay can cause pain and infection.

Early Childhood Caries (ECC) is a severe form of tooth decay that affects the baby teeth of young children aged 5 and under. It can take just months to develop and if not addressed, symptoms will progress. In some cases, children may require dental treatment, including extraction of multiple decayed teeth, under general anaesthetic in hospital.

In the very early stages, ECC can be reversed with preventive treatment by a dental professional, so early identification is vital.

Lift the Lip Screening

We have developed the Lift the Lip screening tool to assist with the identification of ECC in young children aged 0-5.

Non-dental professionals, such as health care and childcare workers, can use this evidence-based tool to refer 0–5-year-olds for dental care.

Screening a child for tooth decay involves simply lifting their top lip and checking the outer surfaces of the top front teeth.

A common early sign of ECC is the appearance of white, opaque, chalky lines on the top front teeth near the gumline. As ECC progresses, yellow or brown pitting may be present and in more advanced cases, decay may appear dark brown or black.

All children who have early or more advanced signs of ECC should be referred to a dental clinic for appropriate dental care. In addition, if a child is reluctant to have a Lift the Lip, they should also be referred.

Aboriginal and Torres Strait Islander children generally experience a high rate of tooth decay, therefore, we recommend a referral be completed for every Aboriginal and Torres Strait Islander child.

Identifying ECC

The following video & images can be used as a guide when completing a Lift the Lip screen.

Health Care Worker video (Lift the Lip, Screening 0-5 year olds for tooth decay - Approx. 5 minutes)

This video provides information for non-dental health professionals on how to use the Lift the Lip screening tool and refer children with signs of tooth decay for dental care. It also outlines the causes of Early Childhood Caries and tips for prevention.

Healthy teeth

No sign of ECC. No dental referral needed.

First dental check-ups are still recommended at 12 - 18 months of age.

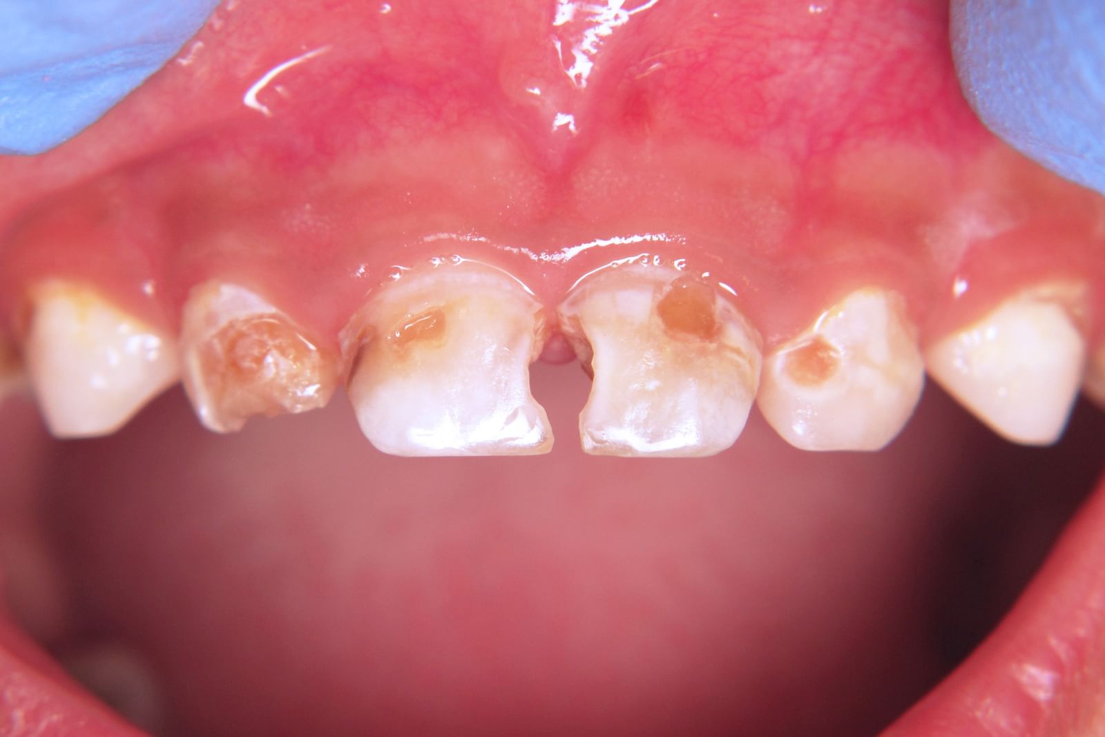
Early signs of ECC

White lines on the top teeth near the gum line can be the beginning of ECC. Please refer.

Advanced signs of ECC

Brown/black areas or decayed spots. Please refer.

ECC advanced

Image source: Dr Travis Nelson, DDS, MSD, MPH. Department of Paediatric Dentistry the University of Washington.

Lift the Lip Referral Process

If ECC is identified, speak with the parent/guardian and offer to refer the child for dental care. The parent/guardian can choose to attend either SA Dental or a private dental provider.

If the parent/guardian elects to attend a private dentist, they will need to organise the dental appointment. Do not complete a referral form.

If SA Dental is selected:

  • Complete the Lift the Lip referral form (below)
  • Give the Lift the Lip follow-up card to the parent/guardian
  • Send the referral to SA Dental:

Children assessed as having ECC that are referred to SA Dental receive priority dental care. There are no waiting lists for children.

There are no out-of-pocket costs for preschool children who attend SA Dental.

Children can also attend SA Dental without a referral. Visit who can attend for information about who can attend our service.

We recommend all children have their first dental check-up at around 12-18 months.

Lift the Lip Resources

To order printed Lift the Lip resources, please complete the order form below and email a copy to Health.SADSLifttheLip@sa.gov.au

Further information

We appreciate your support of the Lift the Lip Program.

By working together, we have the best opportunity to educate families and make a significant difference to the overall health of South Australian children.

Please contact the Lift the Lip Program Coordinator if you have any questions.