Statement of Acknowledgement

We acknowledge and respect the traditional custodians on whose ancestral lands we provide dental services.

We acknowledge the deep feeling of attachment and relationship of Aboriginal and Torres Strait Islander people to Country.

We pay our respects to their Elders past and present and extend that respect to other Aboriginal and Torres Strait Islander people attending our services.

We are committed to improving the oral health outcomes of Aboriginal and Torres Strait Islander people.

Aboriginal and Torres Strait Islander people should be aware that this website may contain images, voices and names of people who have passed away.

Skip to main content

Easter tram closures

Thursday 2 April to Monday 6 April 2026. A substitute bus service is available for travel to the Adelaide Dental Hospital.

Silver fluoride

Jessica Clark SA Dental HR 1135

What is silver fluoride?

  • Silver fluoride is a clear liquid that contains silver particles and fluoride.
  • Silver fluoride is a safe and effective way to treat decayed teeth.

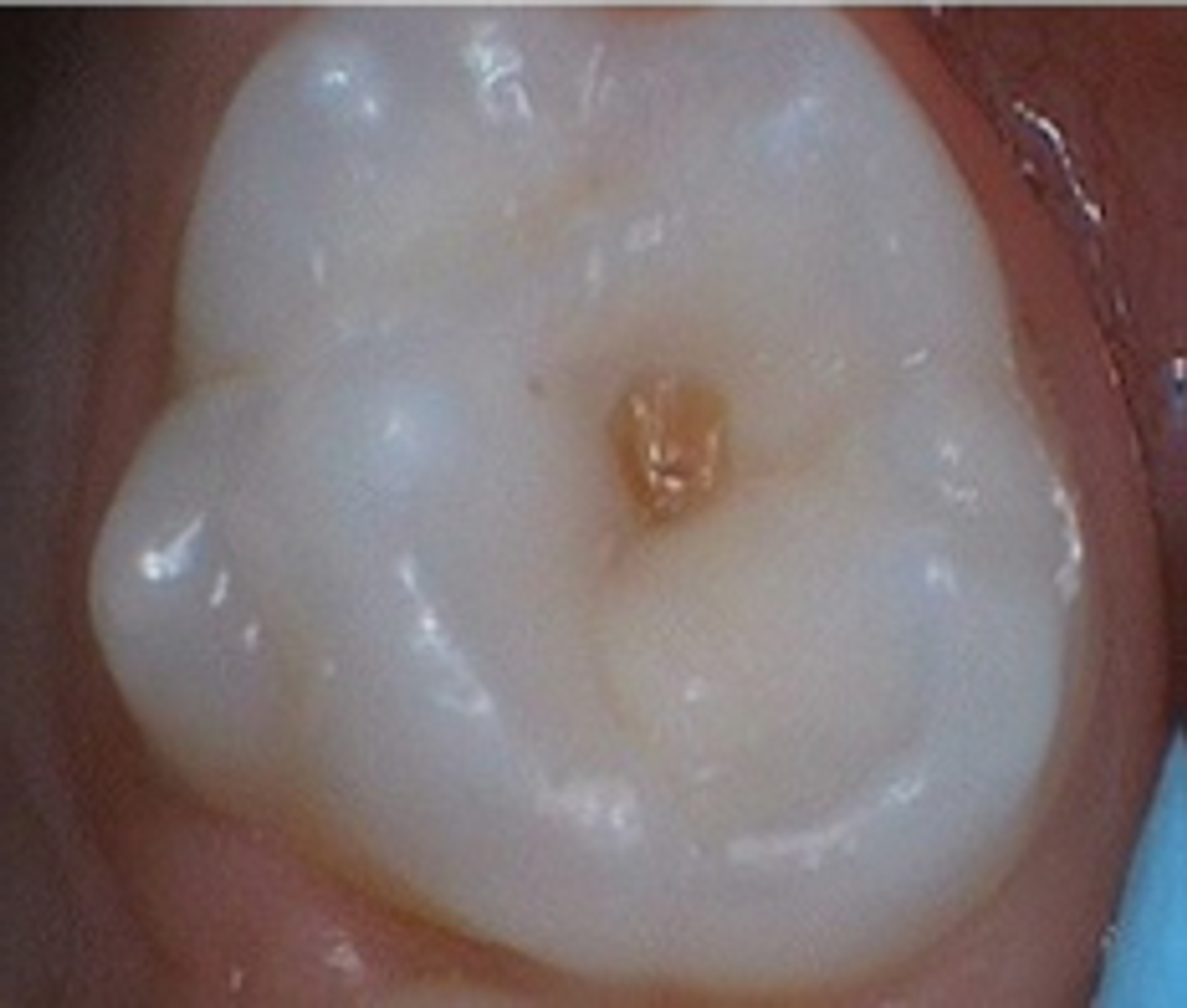
Teeth before silver fluoride application

Teeth after silver fluoride application

What are the benefits of silver fluoride?

  • Silver fluoride can help stop decay from getting worse.
  • Silver fluoride can delay or prevent the need for more invasive treatment such as fillings, dental crowns or extractions. It may help avoid the need for extensive dental treatment under a general anaesthetic.
  • Application is quick, easy and painless - with no need for a local anaesthetic.

What are the side effects of silver fluoride?

  • Silver fluoride permanently stains tooth decay brown/black, but does not stain the healthy part of your tooth.
  • If silver fluoride is in contact with skin or gums, it may cause temporary brown or white staining for up to three weeks.

(Note - as silver fluoride contains silver, it should not be used if you have an allergy to silver or ulcers in your mouth).

It is important to know that teeth will continue to decay if oral health care advice is not followed.

How to keep your teeth and gums healthy

  • Brush each morning and before bed at night.
  • Use a small, soft toothbrush and fluoride toothpaste.
  • After brushing, spit the toothpaste out but do not rinse with water.
  • Reduce the frequency of sugary food and drinks throughout the day.
  • Choose healthy snacks like fruit and cheese.
  • Drink plain tap water - avoid soft drinks, energy drinks, cordials and juices.

If you have any questions about this information, please ask dental clinic staff.